November / December 2022

Features

Anti-VEGF for RVO: A look at real-world results

They don’t necessarily measure up to what clinical trials show, pointing to a need for more durable therapies.

Sickle cell retinopathy: An update on management

Laser photocoagulation is the gold standard, but adjunct anti-VEGF and current and emerging systemic therapies may help improve retinopathy.

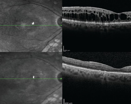
Lessons from MEAD: The potential for reversing DR

The dexamethasone implant has shown efficacy in diabetic macular edema, but more recent evidence shows a signal for reversing diabetic retinopathy.

How AI may impact retinal practice

Artificial intelligence has shown potential for helping us to manage the multitudes with geographic atrophy and diabetes.

Departments

Clinical Trial Closeup

Axitinib implant shows early potential

Interim results from Phase I trial of OTX-TKI, a bioresorbable hydrogel platform using a tyrosine kinase inhibitor.

Conference Review

AAO highlights: ILM peel in DR and more

Standout Retina Subspecialty Day 2022 talks include real-world faricimab and high-dose aflibercept results, and Protocol T outcomes.

Editor's Page

News

North of the Border

Top 10 OCT terms for vitreoretinal surgery

A review of must-know optical coherence tomography nomenclature for the vitreoretinal surgical practice.

Retina Rounds

Can we spare the OR?

A case and discussion of macular hole management with medical therapy.

Social Media Specialist

Climate change and social media

Exploring the axis of access: Pollution, health outcomes and your social media account.

Surgical Pearl Video

Handling a GORE-TEX-sutured IOL

A review of key steps that will avoid suture twisting and lens tilt.