June 2015

Features

10 Abstracts Worth a Second Look

A review of compelling presentations in retina from ARVO.

An Update on the Intravitreal Injection Procedure

Using recent ‘guidelines’ and best practices to optimize outcomes.

Dry AMD Progression in Wet AMD

What we know and don’t know about geographic atrophy.

Genetic Testing for Age-Related Macular Degeneration

With great promise come many controversies and questions.

Departments

Clinical Trial Closeup

Impact of the OHR-102 IMPACT Data

A closer look at combination therapy and CNV.

Coding Commentary

Genetic Tests: A Coverage Challenge

AAO advises restraint with genetic testing; payers go slow.

Editor's Page

Innovation Insight

Experience of 50 Vitrectomies with EVA

Smooth transition between vacuum and flow modes.

Medical Retina Fellows Forum

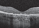
The Controversy of Band #2

What should we call the second of four outer retinal hyperreflective bands on OCT imaging?

News

Retina CEO

How to Supercharge Billing Functions

How quantitative accountability can improve cash flow.

Retina Rounds

A Case of Blurry Vision and Photopsias

Could a history of uveitis have a role in acute, unilateral worsening vision over three days?