![]() |
Multiple spectral-domain and prototype swept-source-based OCTA devices are available. They vary somewhat in hardware and software components. The OptoVue AngioVue (Fremont, Calif.) and the Zeiss
Angioplex (Carl Zeiss Meditec, Dublin, Calif.) are Food and Drug Administration-approved for OCTA.
The common principle OCTA uses to acquire the image is motion contrast detection. The device notes differences between multiple, rapidly repeated OCT B-scans at each individual cross-section of the retina and assumes them to be due to erythrocyte movement within blood vessels. These “decorrelation signals” create a vascular map called an OCT angiogram (Figure 1).1 The OCT angiogram and OCT B-scans are then co-registered for simultaneous visualization of both structural and vascular information.
Are Devices Upgradeable?
A common question retina specialists ask is whether their current OCT systems can be upgraded to perform OCTA. That depends on the system itself and its age. The most likely answer is no. The typical OCT device requires more than just a software update with the decorrelation algorithm in order to do OCTA.
Most notably, OCTA requires much higher scanning speeds because of the need for multiple consecutive OCT B-scans. Conventional scanning speeds of 26,000 to 40,000 A-scans per second would result in a trade-off between decreased resolution/quality, decreased field of view and increased acquisition time. For that reason, scanning speeds at least twice as fast (upwards of 70,000 A-scans/second) are desirable for OCTA so that at least two repeated B-scans can be obtained at each cross-section without changing resolution, field of view or acquisition time. Furthermore, even faster imaging speeds allow for more than two repeated B-scans per cross-section, which can improve the signal-to- noise ratio.
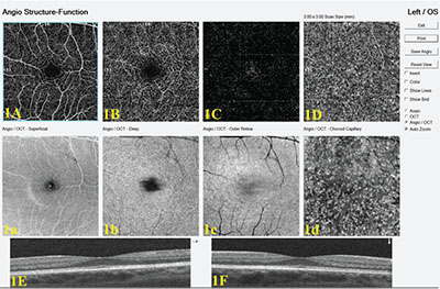
![]() |
| Figure 1. Overview printout, OptoVue Avanti of a normal left eye showing the optical coherence tomography angiography segmentation (A-D), en-face OCT segmentations (a-d), and two corresponding OCT B-scans (E-F) that each OCTA scan set creates. OCTA and en-face OCT images are automatically segmented to show the superficial retinal capillary plexus (A, a), deep retinal capillary plexus (B, b), outer retina (C, c) and choriocapillaris (D, d). Note the homogeneity of each plexus, the lack of blood flow in the outer retina and the small round foveal avascular zone. |
OCT angiogram resolution depends on how many A-scans comprise a specific field of view, as the device automatically interpolates information between any two points. The fewer the A-scans in a set area, the more interpolation needed in the spaces between the A-scans and, therefore, the more likely the scan will miss subtle changes. As OCTA is based on motion detection, the acquisition time is limited by how long the patient can keep his or her eye open without blinking.
The machine cannot detect movement when the patient closes the eye, so the OCT angiogram will be marked with a black horizontal or vertical line (complete “absence” of flow).1 Thus, the slower scanning speeds of conventional OCT devices would either result in greatly reduced resolution, a field of view so small that it would be clinically useless, and/or OCT angiograms with black lines across them.
Static OCTA vs. Dynamic FA
Many differences exist between how fluorescein angiography (FA) and OCTA devices obtain images and the type of information they provide (Table, page 25). FA has long been the gold standard for posterior segment vascular imaging. It requires intravenous dye administration and produces a two-dimensional image showing details primarily comprised of the superficial retinal capillary plexus. However, FA imaging of the radial peripapillary network, deep retinal capillary plexus and choroidal vasculature is poor.3 FA image interpretation is based on dynamic properties of dye leakage, staining and blockage.1
With ultra-widefield FA, the imaging field can encompass the entire macular region or extend beyond the equator. The FA technique can be limited by its more expensive technical requirements, time constraints, invasive nature and risk of allergic reaction to the fluorescein dye, ranging from nausea to, rarely, death from anaphylactic shock.
![]() |
| Figure 2. Right eye (A-G) and left eye (a-g) in proliferative diabetic retinopathy. Color photograph (A), intermediate-phase fluorescein angiography (FA; B), and red-free imaging (C) show panretinal photocoagulation in the mid-periphery, macular dot hemorrhages, microaneurysms, preretinal neovascularization and a cotton wool spot superotemporally. Macular 3-by-3-mm (D) and 6-by-6-mm (E) optical coherence tomography angiography shows microaneurysms (circled) and an irregular foveal avascular zone (FAZ) with adjacent and more peripheral areas of capillary non-perfusion (asterisks) that are difficult to appreciate with the other imaging modalities. OCT B-scan shows superonasal thinning (F) and disorganization of the retinal layers perifoveally (G). Color photograph (a), intermediate-phase FA (b), and red-free imaging (c) of the left eye show mid-peripheral panretinal photocoagulation scars and media opacity due to old hemorrhage and microaneurysms. Macular 3-by-3-mm OCTA images of the superficial (d) and deep (e) retinal capillary plexuses show microaneurysms (circled) and an irregular FAZ with adjacent and more peripheral areas of capillary non-perfusion (asterisks). OCT B-scans show superior thinning (f) and disorganization of the retinal layers perifoveally (g). |
In contrast, OCTA is non-invasive and provides static volumetric angiographic information depicting a snapshot in time of blood flow. OCTA provides highly detailed images of flow in the superficial retinal capillary plexus in addition to the intermediate and deep retinal capillary plexuses, the radial peripapillary network and choriocapillaris. The corresponding OCT B-scans are co-registered with the OCT angiograms, revealing the structural anatomy and corresponding flow respectively.
The OCTA field of view is more limited than FA; the most common utilized OCTA scanning size is 3 by 3 mm, which researchers estimate is at least as detailed, or more so, than high-resolution FA imaging. Larger scan sizes up to 12 by 12 mm are possible; however, in most current devices the image resolution would subsequently be reduced because it inversely relates to the field of view. Software is being developed to stitch together or montage the detailed 3-by-3-mm OCTA images to increase the field of view without compromising image resolution.4
The OCTA image is based on flow detection by assuming that all motion is secondary to red blood cell movement in the vasculature. This makes OCTA images very sensitive to extraneous patient movement, fixation ability and ocular saccades, so each machine requires some motion correction or eye-tracking technology. OCT displays gross eye motion as bright white horizontal or vertical lines across the angiogram.
Motion-correction software automatically compensates for minor eye movements and merges two image sets to theoretically remove these lines. However, in cases with significant movement, the motion-correction software can create other artifacts while correcting for motion, such as vessel doubling, a quilting pattern or loss of detail.
Imaging with OCTA is fast. A typical imaging session on one eye takes about one second to obtain the X-fast scan, and then one second to obtain the Y-fast scan; it takes a total of about one minute to merge these two orthogonal scans and apply motion correction to the final OCTA volume. Therefore, total imaging time from the moment the patient places and adjusts his or her head in the chin rest to the processing and viewing of bilateral image sets takes about five minutes, in stark contrast to the 20 or more minutes for dye-based angiography. However, poor visual acuity and limited fixation in some cases may affect the quality of the image, more so with OCTA than with FA.
OCTA in Macular Telangiectasia
One of the initial disorders for which clinicians used OCTA is macular telangiectasia type 2. OCTA images are more revealing than FA, showing vascular rarefication or dilation, telangiectasia, neovascularization and decreased capillary density more prominently in the deep retinal capillary plexus.5 Because OCTA is depth-resolved, volume rendering can aid in visualizing the vascular flow three dimensionally, allowing for more dynamic evaluation that retains its sense of depth.
This is the technique that Richard Spaide, MD, and co-authors used to illustrate that neovascularization in macular telangiectasia type 2 appears to originate from a right-angle vein from the retinal vasculature, causing lateral contraction and diving into the subretinal space.6 This demonstrates the increased potential utility of OCTA in this disorder, as FA mainly images the superficial retinal capillary plexus and thus cannot evaluate the deep retinal capillary plexus in such detail.
Uses in Diabetic Retinopathy
![]() |
| Figure 3. Left eye with proliferative diabetic retinopathy and neovascularization of the disc (NVD) seen as fine abnormal vessels on color photograph (A; arrowheads) and dye leakage between intermediate (B) and late (C) phase of fluorescein angiography. On optical coherence tomography angiography, NVD appears as a flow signal above the internal limiting membrane (D, circled) and above the optic disc (E). |
In contrast, the greater detail of the surrounding microvasculature that OCTA obtains makes these subtle aneurysmal dilations more difficult to distinguish from surrounding vessels. Furthermore, microaneurysms may not be patent or absent, or the flow of red blood cells may be too slow to detect with OCTA.1 Microaneurysms noted on FA correspond to capillary loops as well as focal vascular dilations on OCTA, and their exact intraretinal location can be determined with OCTA segmentation.
OCTA can readily image preretinal neovascularization in proliferative DR by evaluating en-face images segmented superficially at the vitreoretinal interface (Figure 3). Manual adjustment of the automated segmentation lines can accomplish this. Interpretation of DME requires differentiation of intraretinal cystic spaces from capillary non-perfusion. Both of these entities appear as dark areas on OCTA; however, intraretinal cystic areas have rounded edges and are completely black, while capillary non-perfusion appears less dark with sharp irregular edges that follow the retinal vessel borders.
OCTA of Vascular Occlusion
OCTA can demonstrate the features of both retinal artery and venous occlusion sufficiently to establish the diagnosis. In vascular occlusions, capillary telangiectasias, collateral vessels, microaneurysm, capillary nonperfusion and the borders of ischemic retina are well delineated using OCTA.9 OCTA is at least as detailed as FA imaging, with a handful of publications reporting that OCTA provides increased retinal detail in vascular occlusion.9,10
The different vascular plexuses can be segmented using OCTA for enhanced imaging to determine which plexus is more affected. In retinal artery occlusions, the radial peripapillary network can be visualized as it may be preserved or attenuated in chronic cases.11 This type of imaging is not possible with OCTA in choroidal neovascularization.
![]() |
This ability to segment the OCT angiograms makes OCTA particularly useful for assessing choroidal neovascularization (CNV) due to exudative age related macular degeneration and other diseases.
Segmentation of the choriocapillaris and/or outer retina can visualize CNV and feeder vessels with high sensitivity and specificity (Figure 4).12,13 Authors have described a variety of CNV configurations, such as a well-circumscribed dense “sea fan” network or poorly circumscribed “long filamentous” CNV.
![]() |
| Figure 4. Right eye with choroidal neovascularization (CNV) pre- (A-G) and post- (a-d) intravitreal anti-VEGF injection. Color photo (4A) and red-free (D) show a foveal lesion (arrow) with adjacent hemorrhage and subretinal fluid. Early (B) and late (C) fluorescein angiography demonstrate leakage (arrow) due to type 2 CNV. Macular 3-by-3-mm optical coherence tomography angiography (E) in the outer retina reveals a delicate lacy well-circumscribed sea-fan-shaped foveal CNV (arrow). OCT B-scan shows retinal thickening (F), hyper-reflective tissue (arrow) above the retinal pigment epithelium, and subretinal fluid (G). After treatment, color photograph (a), macular 3-by-3-mm OCTA (b) and OCT (c, d) show resolution of subretinal fluid and reduction of CNV size. |
After anti-vascular endothelial growth factor therapy, OCTA shows decreased or absent flow in the peripheral and finer CNV vessels, demonstrating a smaller and less dense vascular net. In contrast, CNV appears as leakage on FA, making exact delineation of the vascular net difficult and preventing precise monitoring of CNV size and density.
In polypoidal choroidal vasculopathy (PCV), CNV can be easily visualized using OCTA; however, OCT angiography may inconsistently image the polyps that indocyanine green angiography (ICGA) visualizes.17 Utilization of cross-sectional OCTA can demonstrate flow signal focally within polyps, improving their detection.18 OCTA can also help detect CNV in eyes with chronic central serous chorioretinopathy (CSCR).13,19
Authors have used OCTA to show that irregular fibrovascular retinal pigment epithelial detachment (PED) is a risk factor for type 1 CNV in chronic CSCR, and that CNV may be independent of the presence of intraretinal and subretinal fluid.19 Detection of type 1 CNV with FA can be difficult because of its subtle late leakage.
While FA is the current gold standard for CNV detection, OCTA has been shown to provide clear visualization of CNV in eyes with equivocal FA findings; thus it is useful to confirm subtle cases.12 In addition to CNV detection, segmentation of the choriocapillaris layer in eyes with CSCR shows foci of reduced flow on OCTA that in some cases may be adjacent to the location of hot spots on ICGA.20
OCTA has been used to detect CNV and monitor treatment response in uveitic diseases, including acute zonal occult outer retinopathy, punctate inner choroidopathy and multifocal choroiditis, even when more traditional imaging modalities such as FA show an inactive PED, scar or equivocal findings.16,21
Birdshot Chorioretinopathy And Inherited Disease
Researchers at New England Eye Center used OCTA to describe novel findings in birdshot chorioretinopathy (BCR), including disruption of the choriocapillaris below lesions with larger choroidal vessels bordering these areas of non-flow.22 Furthermore, retinal thinning, telangiectatic vessels, capillary dilations and loops, and grossly increased intercapillary areas were uniquely imaged with OCTA in birdshot eyes—which had not previously been described using other imaging modalities.22
The improved resolution of OCTA compared with FA allows for easier visualization of retinal changes in eyes with BCR that older imaging modalities could not detect. OCTA has characterized a variety of less-common disorders, including Coat’s disease (Figure 5), inherited retinal degenerations, sickle cell disease and orbital tumors.
![]() |
| Figure 5. In Coat’s disease, color photo of the right eye (A) shows exudation at the arcades and temporally. Fluorescein angiography (B) and a montage of 3-by-3-mm optical coherence tomography angiography images (C) demonstrate microaneurysms in the macula and temporally within and adjacent to an area of capillary non-perfusion. |
In inherited diseases such as retinitis pigmentosa and Stargardt disease that have progressive photoreceptor and RPE loss, OCTA shows overlying retinal thinning and increased intercapillary area, FAZ abnormalities and choriocapillaris loss or decreased perfusion below the absent RPE, similar to that seen in geographic atrophy.23
Actually Doing OCTA
One practical consideration is that the ability to do OCTA imaging on your patients may require the purchase of a new, faster OCT device. Additionally, no modification in billing code for OCTA currently exists beyond that of conventional structural OCT B-scan.
Overall, OCTA has proven to be valuable for diagnosing a variety of retinal disorders and monitoring therapeutic response with findings that may complement or exceed FA imaging in some cases. It is likely that future software and hardware updates will increase the field of view of OCTA and resolve its susceptibility to motion artifact, making OCTA a formidable challenger to FA, or even the champion for imaging posterior pole disorders. RS
REFERENCES
1. de Carlo TE, Romano A, Waheed NK, Duker JS. A review of optical coherence tomography angiography. Int J Retin Vitr. 2015;1:5.
2. Matsunaga D, Yi J, Puliafito C, Kashani AH. OCT angiography in healthy human subjects. Ophthalmic Surg Lasers Imaging Retina. 2014;45:510-515.
3. Spaide RF, Klancnik JM, Cooney MJ. Retinal vascular layers imaged by fluorescein angiography and optical coherence tomography angiography. JAMA Ophthalmol. 2015;133:45-50.
4. de Carlo TE, Salz DA, Waheed NK, Baumal CR, Duker JS, Witkin AJ. Visualization of the retinal vasculature using side-field montage optical coherence tomography angiography. Ophthalmic Surg Lasers Imaging Retina. 2015;46:611-616.
5. Thorell MR, Zhang Q, Huang Y, et al. Swept-source OCT angiography of macular telangiectasia type 2. Ophthalmic Surg Lasers Imaging Retina. 2014;45:369-380.
6. Spaide RF, Klancnik JM, Cooney MJ, et al. Volume-rendering optical coherence tomography angiography of macular telangiectasia type 2. Ophthalmology. 2015;122:2261-2269.
7. de Carlo TE, Moult E, Choi W, et al. Diabetic Retinopathy. In: Lumbroso B, ed. Clinical OCT Angiography Atlas. 1st ed. New Delhi, India: Jaypee Brothers Medical Publishers. 2015:120-131.
8. Matsunaga DR, Yi JJ, Olmos De Koo L, Ameri H, Puliafito CA, Kashani AH. Optical coherence tomography angiography of diabetic retinopathy in human subjects. Ophthalmic Surg Lasers Imaging Retina. 2015;46:796-805.
9. Coscas F, Glacet-Bernard A, Miere A et al. Optical coherence tomography angiography in retinal vein occlusion: Evaluation of superficial and deep capillary plexa. Am J Ophthalmol. 2016;161:160-171.
10. de Castro-Abeger AH, de Carlo TE, Duker JS, Baumal CR. Optical coherence tomography angiography compared to fluorescein angiography in branch retinal artery occlusion. Ophthalmic Surg Lasers Imaging Retina. 2015;46:1052-1054.
11. Bonini Filho MA, Adhi M, de Carlo TE, et al. Optical coherence tomography angiography in retinal artery occlusion. Retina. 2015;35:2339-2346.
12. de Carlo TE, Bonini Filho MA, Chin AT, et al. Spectral domain optical coherence tomography angiography (OCTA) of choroidal neovascularization. Ophthalmology. 2015;122:1228-1238.
13. Bonini Filho MA, de Carlo TE, Ferrara D, et al. Association of choroidal neovascularization and chronic central serous chorioretinopathy with optical coherence tomography angiography (OCTA) detection. JAMA Ophthalmol. 2015;133:899-906.
14. Roisman L, Zhang Q, Wang RK, et al. Optical coherence tomography angiography of asymptomatic neovascularization in intermediate age-related macular degeneration. Ophthalmology. 2016;123:1309-1319.
15. Muakkassa NM, Chin AT, de Carlo T, et al. Characterizing the effect of anti-vascular endothelial growth factor therapy on treatment-naïve choroidal neovascularization using optical coherence tomography angiography. Retina. 2015;35:2252-2259.
16. Baumal CR, de Carlo TE, Waheed NK, Salz DA, Witkin AJ, Duker JS. Sequential OCT angiography for diagnosis and treatment of choroidal neovascularization in multifocal choroiditis. JAMA Ophthalmol. 2015;133:1087-1090.
17. Kim JY, Kwon OW, Oh HS, Kim SH, You YS. Optical coherence tomography angiography in patients with polypoidal choroidal vasculopathy. Graefes Arch Clin Exp Ophthalmol. 2016;254:1505-1510.
18. Inoue M, Balaratnasingam C, Freund KB. Optical coherence tomography angiography of polypoidal choroidal vasculopathy and polypoidal choroidal neovascularization. Retina. 2015;35:2265-2274.
19. de Carlo TE, Rosenblatt A, Goldstein M, Baumal C, Loewenstein A, Duker JS. Vascularization of irregular retinal pigment epithelial detachments in chronic central serous chorioretinopathy evaluated with OCT angiography. Ophthalmic Surg Lasers Imaging Retina. 2016;47:128-133.
20. Teussink MM, Breukink MB, van Grinsven MJJP, et al. OCT angiography compared to fluorescein and indocyanine green angiography in chronic central serous chorioretinopathy. Invest Ophthalmol Vis Sci. 2015;56:5229-5237.
21. Levison AL, Baynes K, Lowder CY, Srivastava SK. OCT angiography identification of choroidal neovascularization secondary to acute zonal occult outer retinopathy. Ophthalmic Surg Lasers Imaging Retina. 2016;47:73-75.
22. de Carlo TE, Bonini Filho MA, Adhi M, Duker JS. Retinal and choroidal vasculature in birdshot chorioretinopathy analyzed using spectral domain optical coherence tomography angiography. Retina. 2015;35:2392-2399.
23. de Carlo TE, Adhi M, Salz DA, et al. Analysis of choroidal and retinal vasculature in inherited retinal degenerations using optical coherence tomography angiography. Ophthalmic Surg Lasers Imaging Retina. 2016;47:120-127.







