![]() |
![]() |
Since that diagnosis, he reported progressive floaters in the right eye. His medical and ocular history were unremarkable, but he was taking emtricitabine/tenofovir (Truvada, Gilead) for pre-exposure prophylaxis of HIV.
Work-up and imaging findings
At the initial visit to the retina clinic, the patient’s visual acuity was 20/60 OD and 20/70 OS. Intraocular pressures were normal. The anterior segment was notable for 2+ cell bilaterally. The anterior vitreous was notable for 1+ cell OD and trace cell OS.
Fundus examination revealed bilateral large placoid macular lesions (Figure 1). Fundus autofluorescence disclosed bilateral hyperautofluorescence of the placoid macular lesions and areas of speckled hyperautofluorescence nasally (Figure 2).
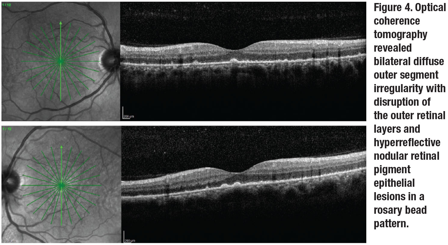
Fluorescein angiogram revealed bilateral hyperfluorescent staining of the placoid macular lesions and irregular hyperfluorescence nasally as well as some focal staining of the vessels and hyperfluorescence of the optic nerves (Figure 3). Optical coherence tomography revealed bilateral diffuse outer segment irregularity with widespread disruption of the outer retinal layers and hyperreflective nodular retinal pigment epithelium lesions (Figure 4).
![]() |
Additional history and diagnosis
The patient’s social history was notable for multiple sexual partners. Four months prior to presentation, he had a routine screening with negative HIV and syphilis enzyme immunoassay testing. Despite the recent negative syphilis testing, the patient’s clinical examination was highly suspicious for bilateral acute syphilitic placoid posterior chorioretinopathy.
![]() |
Hospital admission and labs
He was admitted to the hospital for suspicion of ocular syphilis. A repeat syphilis immunoassay test on admission was positive with a reflex reactive rapid plasma reagin (RPR) titer of 1:256. Repeat HIV and testing of other sexually transmitted diseases was negative.
Infectious disease was consulted and recommended a lumbar puncture and initiation of intravenous penicillin (24 million units per day) for 14 days. He was also started on topical prednisolone acetate six times per day in both eyes for the anterior chamber inflammation.
Follow-up
Three weeks after the initial visit, the patient’s visual acuity improved to 20/25 OD and 20/40 OS. Intraocular pressures were normal. The anterior segment was quiet bilaterally.
Fundus examination revealed resolution of the bilateral large placoid macular lesions. OCT revealed reconstitution of the outer retinal segments and disappearance of the hyperreflective nodular RPE lesions (Figure 5, page 12). He was tapered off the topical steroids over one month, and he was concurrently followed by an infectious disease specialist, who noted progressive decline of the RPR titer at three months post-treatment.
![]() |
A modern epidemic
Although syphilis was first recognized in Europe in the late 15th century, there has been a significant increase in the number of cases worldwide, including in the United States. The Centers for Disease Control and Prevention reporting an 81-percent increase from 2014 to 2018.1-3
Known as “the great masquerader,” ocular syphilis can occur in nearly any ocular structure as early as six weeks after transmission and may often be the only sign of systemic syphilis.4
![]() |
Most patients with ocular syphilis have posterior uveitis as the primary manifestation, commonly with bilateral involvement.5 Other presentations of ocular syphilis include optic neuropathy, interstitial keratitis, anterior uveitis and retinal vasculitis.4,6
The CDC defines ocular syphilis as clinical symptoms or signs consistent with ocular disease (e.g., uveitis, panuveitis, diminished visual acuity, blindness, optic neuropathy, interstitial keratitis, anterior uveitis, or retinal vasculitis) in patients with syphilis of any stage.7
A serologic diagnostic workup for syphilis should be completed either with traditional serologic testing or with reverse screening algorithms.7
Traditional serology includes a positive nontreponemal test (e.g., RPR or VDRL) confirmed by a treponemal-specific test (e.g., Treponema pallidum enzyme immunoassay or fluorescent treponemal antibody absorption). However, reverse screening algorithms, in which a treponemal test is performed followed by a confirmatory nontreponemal test, are gaining popularity.
In patients with a high suspicion of syphilis despite negative testing, consider a prozone phenomenon, which occurs when extremely high syphilis antibody titers interfere with the serologic test and result in a false-negative test.8 All patients with a new diagnosis of ocular syphilis should be tested for HIV and screened for other common sexually transmitted diseases, specifically gonorrhea and chlamydia.7
![]() |
![]() |
Clinical characteristics of ASPPC
J. Donald M. Gass, MD, and colleagues at Bascom Palmer Eye Institute first described acute syphilitic posterior placoid chorioretinitis (ASPPC) in 1990.9
ASPPC is defined by the presence of one or more placoid, yellowish, outer retinal lesions, typically involving the posterior pole and the mid-periphery of the retina near the temporal vascular arcade. ASPPC may have a unilateral or bilateral involvement with a presenting visual acuity ranging from 20/20 to no light perception.10
OCT to diagnose ASPPC
The advent of OCT imaging has made it possible to report pathognomonic features of ASPPC, which include punctate hyperreflectivity in the choroid, disruption and loss of the ellipsoid zone, nodular irregularity of the retinal pigment epithelium and transient localized subretinal fluid.11,12
Although the pathophysiology of ASPPC isn’t completely understood, timing and characteristics of spectral-domain OCT findings may reflect the sequence of disease events.11 Some authors suggest that circulating T. pallidum organisms may enter the choroidal circulation and gain access to the outer retina where the choroidal vascular supply is greatest.
This subsequent access to the outer retina may result in impaired photoreceptor function expressed as disruption of ellipsoid zone on OCT. These changes may be secondary to direct invasion of T. pallidum organisms from the choroidal circulation or secondary inflammation of the choriocapillaris-RPE-photoreceptor complex.10,12,13
![]() |
![]() |
Treatment
Ocular syphilis should be treated as neurosyphilis with 18 million to 24 million units IV aqueous crystalline penicillin G per day for 10 to 14 days.7 If cerebrospinal fluid pleocytosis or elevated protein is initially present, the CDC recommends repeated lumbar puncture every six months until the cell count or protein level normalizes.
Sexual partners of patients with ocular syphilis should be notified, and the case should be reported to the local health department.
Bottom line
ASPPC is a subtype of neurosyphilis that requires treatment with intravenous penicillin in consultation with infectious disease specialists. All patients with a new ocular syphilis diagnosis should be tested for HIV and screened for other common sexually transmitted diseases. RS
REFERENCES
1. Ghanem KG, Ram S, Rice PA. The modern epidemic of syphilis. N Engl J Med. 2020;382:845-854.
2. Hook EW, 3rd. Syphilis. Lancet. 2017;389:1550-1557.
3. Furtado JM, Arantes TE, Nascimento H, et al. Clinical manifestations and ophthalmic outcomes of ocular syphilis at a time of re-emergence of the systemic infection. Sci Rep. 2018;8:12071.
4. Klein A, Fischer N, Goldstein M, Shulman S, Habot-Wilner Z. The great imitator on the rise: Ocular and optic nerve manifestations in patients with newly diagnosed syphilis. Acta Ophthalmol. 2019;97:e641-e647.
5. Moradi A, Salek S, Daniel E, et al. Clinical features and incidence rates of ocular complications in patients with ocular syphilis. Am J Ophthalmol. 2015;159:334-343.e331.
6. Woolston SL, Dhanireddy S, Marrazzo J. Ocular syphilis: A clinical review. Curr Infect Dis Rep. 2016;18):36.
7. Center for Disease Control and Prevention. Clinical advisory: Ocular syphilis in the United States. Updated March 24, 1916. Available at; https://www.cdc.gov/std/syphilis/clinicaladvisoryos2015.htm. Accessed August 13, 2020.
8. Sidana R, Mangala HC, Murugesh SB, Ravindra K. Prozone phenomenon in secondary syphilis. Indian J Sex Transm Dis AIDS. 2011;32:47-49.
9. Gass JD, Braunstein RA, Chenoweth RG. Acute syphilitic posterior placoid chorioretinitis. Ophthalmology. 1990;97:1288-1297.
10. Eandi CM, Neri P, Adelman RA, Yannuzzi LA, Cunningham ET, Jr. Acute syphilitic posterior placoid chorioretinitis: Report of a case series and comprehensive review of the literature. Retina. 2012;32:1915-1941.
11. Pichi F, Ciardella AP, Cunningham ET, Jr., et al. Spectral domain optical coherence tomography findings in patients with acute syphilitic posterior placoid chorioretinopathy. Retina. 2014;34:373-384.
12. Brito P, Penas S, Carneiro A, Palmares J, Reis FF. Spectral-domain optical coherence tomography features of acute syphilitic posterior placoid chorioretinitis: The role of autoimmune response in pathogenesis. Case Rep Ophthalmol. 2011;2:39-44.
13. Ormaechea MS, Hassan M, Nguyen QD, Schlaen A. Acute syphilitic posterior placoid chorioretinopathy: An infectious or autoimmune disease? Am J Ophthalmol Case Rep. 2019;14:70-73.










