![]() |
![]() |
Retinopathy of prematurity delays physiologic retinal vascular development, resulting in avascularity and ischemia of the peripheral retina. This may elaborate growth factors, including vascular endothelial growth factor, leading to vasoproliferation at the junction between avascular and vascular retina (Stage 3 ROP).
The dysregulated angiogenesis in ROP occurs in two well-defined phases. In phase 1, occurring during postmenstrual age (PMA) 22 to 30 weeks, relative hyperoxia results in oxygen-induced arrest of normal vascular development and obliteration of immature retinal vascular elements.1 In phase 2, at PMA 31 to 44 weeks, the retina becomes more mature and metabolically active, resulting in relative retinal ischemia that drives pathologic vasoproliferation.2
Outcomes when ROP left untreated
Ninety-nine percent of infants who will develop ROP do so by 46.3 weeks.3 Left untreated, dysregulated angiogenesis may proliferate and potentially progress toward fibrosis, contraction and ultimately effusive and tractional retinal detachment (stage 4 or 5 ROP).4
While it’s critical to understand ROP classification5 and treatment guidelines,6,7 it’s equally important to understand patterns of disease regression so that we don’t miss early retreatment opportunities.
In this article, we’ll review patterns of disease regression following observation (type 2 ROP or lower), laser ablative therapy and intravitreal bevacizumab (Avastin, Roche/Genentech) therapy, highlighting patterns unique to bevacizumab therapy.
![]() |
![]() |
Spontaneous ROP regression
![]() |
Initially, the Cryotherapy for Retinopathy of Prematurity (CRYO-ROP) study8,9 defined treatment guidelines, later modified by the Early Treatment for Diabetic Retinopathy (ETROP) study.10 ETROP defined type 1 ROP accordingly:
- zone I, any stage ROP with plus disease;
- zone I, stage 3 ROP without plus disease; or
- zone II, stages 2 or 3 with plus disease.
Type 1 ROP currently requires acute treatment with either ablative laser therapy1,11 or intravitreal anti-VEGF agents.12,13
- Type 2 ROP is defined as:
- zone I, stages 1 and 2 without plus disease; or
- zone II, stage 3 without plus disease, or lower.
Close observation with serial examina-
tion with retinal photography is the preferred approach for type 2 ROP. Most type 2 ROP doesn’t progress, although approximately 20 percent of type 2 did progress to type 1 in the ETROP study, with a mean time of progression of nine days after
diagnosis.14
![]() |
Regression without treatment
When treatment isn’t indicated, spontaneous ROP regression follows a regular pattern: resolution of plus disease followed by reversal of stage of disease, subsequent growth of “vessels of regression” (straight and unbranched) past the ridge, and ideally full vascular maturation to the ora serrata (Table 1).
The duration and degree of spontaneous ROP regression depends on the presenting stage and zone of disease. While most ROP not requiring treatment does regress in the acute phase, roughly 2 percent of infants with type 2 ROP will not regress, exhibiting persistent ROP past 50 weeks.3
In the 98 percent of patients that do regress, degrees of persistent peripheral avascular retina will vary. When present, persistent peripheral avascularity creates a milieu for retinal tears and detachments that can occur in teenage years and adulthood.5,15
![]() |
ROP regression following ALT
![]() |
When ROP is classified as type 1 or
aggressive posterior ROP (APROP), one may choose to treat it with ablative laser therapy or intravitreal anti-VEGF therapy. Laser is performed at a mean peak incidence of 35 to 36 weeks PMA (depending on presenting stage and zone of disease), and is usually completed in a single procedure.11 In ETROP, laser ablation was shown to reduce unfavorable structural outcomes from 15.6 to 9 percent at nine months.10
The pattern of ROP regression after laser therapy has been well documented11 and follows that of spontaneous regression: reversal of plus disease, followed by downstaging of disease and subsequent vascular growth and maturation (Table 2). This is usually complete by 10 weeks after laser.11 Reduction in the number of active stage 3 clock hours as well as separation of the neovascularization from the ridge are characteristics of disease involution.11
Plus disease and disease stage typically resolve in three weeks. Development of vitreous organization may accompany the reduction in neovascularization and should be noted. Regression following laser therapy is further characterized by the development of prominent retinal pigment epithelial changes in the previously avascular retina that had received ablative therapy.
Vascularization may develop at the ora serrata, but the blood vessels are often straight and unbranching with associated retinal thinning and atrophy. After laser, babies are regularly followed up to 50 weeks PMA, by which time they are very unlikely to develop a retinal detachment if they have not already done so.
![]() |
ROP regression post-bevacizumab
When ROP is classified as type 1, one may alternatively choose to treat with intravitreal anti-VEGF (VEGF-I) therapy. Intravitreal ranibizumab (IVR, Lucentis, Roche/Genentech),12 aflibercept (Eylea, Regeneron),16 bevacizumab (IVB)6 and conbercept (Lumitin, Chengdu Kang Hong Biotech)17 have been used in the treatment of type 1 ROP.
IVB is a humanized monoclonal antibody against VEGF-A and has been the most widely used agent to date for the treatment of type 1 ROP. While numerous studies have demonstrated the efficacy of IVB in inducing ROP regression,18,19 concerns exist that a percentage of patients exhibit variable disease reactivation20 and chronic vascular arrest beyond current screening guidelines.6
Domenico Lepore, MD, and colleagues have highlighted the inadequacy of clinical examination and photography, either alone or in combination, to follow the vascular maturation and even recurrence in post- VEGF-I-treated ROP patients. They have introduced fluorescein angiography as a more effective way to follow them.21
![]() |
Regression following IVB therapy follows a unique pattern. A characteristic feature of ROP treated with anti-VEGF therapy is called “scalloped regression.” This refers to fine vessel arborization at the junction of vascular and avascular retina reminiscent of the acute capillary budding phase of spontaneously regressing ROP. It persists for many weeks and appears without the retinal atrophy that typically accompanies involution with partial vascularization.6 While the significance of scalloped regression is unknown, it is present in 100 percent of patients treated with anti-VEGF and isn’t seen in other forms of regression described.
To further define regression patterns in eyes treated with IVB, Tiffany Chen, MD, and colleagues analyzed 92 eyes treated at a single center with IVB.22 They found that only three eyes (3.3 percent) treated with IVB reached complete vascular maturity at the time of examination under anesthesia/fluorescein angiography (EUA/FA), typically performed at around 60 weeks PMA. They defined complete vascularization by vasculature reaching within 2 disc diameters of the ora serrata (as per International Committee for the Classification of Retinopathy of Prematurity5).
![]() |
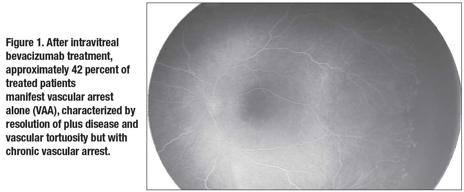
Of the eyes that did not completely vascularize (n=89), they found that 39 (43.8 percent) experienced resolution of plus disease and vascular tortuosity, but had chronic vascular arrest, termed “vascular arrest alone” (VAA, Figure 1, page 29). Thirty-four eyes (38.2 percent) didn’t experience resolution of vascular tortuosity while also displaying chronic vascular arrest, termed “vascular arrest with tortuosity” (VAT, Figure 2, page 30). Sixteen eyes (18 percent) had reactivated ROP, defined as recurrence of stage of disease; these were acutely treated with ablative laser.
Therefore, when considering all IVB treated eyes (n=92), approximately 3
percent reached full vascular maturation, 42 percent exhibited VAA, 38 percent exhibited VAT and 17 percent exhibited disease reactivation (Figure 3, page 33). This series reported no retinal progressive detachments. All patients not reaching full vascular maturation (97 percent) underwent ablative laser therapy at the time of FA (typically at around 60 weeks PMA).
Eyes that reactivated were prone to be of Asian ethnicity and to have presented with zone I, stage 2-plus disease and APROP. Persistent tortuosity following treatment with IVB was found to correlate more strongly with younger gestational age than low birth weight. Based on observations of published data with ranibizumab12 and conbercept,17 this type of regression appears to be a VEGF-I class phenomenon (Table 3).
![]() |
Bottom line
Knowledge of regression patterns following treatment of type 1 ROP is an important part of ROP care. IVB-treated eyes display several unique regression features including frequent vascular arrest (approximately 97 percent), with or without persistent vascular tortuosity, and the possibility for disease reactivation (approximately 17 percent) even after the completion of classic screening guidelines. Therefore, IVB eyes need to be followed closely after treatment. Before completing their screening, these eyes should undergo FA with possible adjunctive ablative laser therapy.
REFERENCES
1. Hartnett ME, Penn JS. Mechanisms and management of retinopathy of prematurity. N Engl J Med. 2012;367:2515–2526.
2. Smith LEH. Through the eyes of a child: Understanding retinopathy through ROP the Friedenwald lecture. Invest Ophthalmol Vis Sci. 2008;49:5177–5182.
3. Warren CC, Young JB, Goldberg MR, Connor TB, Kassem IS, Costakos DM. Findings in persistent retinopathy of prematurity. Ophthalmic Surg Lasers Imaging Retina. 2018;49:497–503.
4. Wood EH, Rao P, Moysidis SN, et al. Fellow eye anti-VEGF ‘crunch’ effect in retinopathy of prematurity. Ophthalmic Surg Lasers Imaging Retina. 2018; 49:e102–e104.
5. International Committee for the Classification of Retinopathy of Prematurity. The International Classification of Retinopathy of Prematurity revisited. Arch Ophthalmol. 2005;123:991–999.
6. Toy BC, Schachar IH, Tan GSW, Moshfeghi DM. Chronic vascular arrest as a predictor of bevacizumab treatment failure in retinopathy of prematurity. Ophthalmology. 2016;123:2166–2175.
7. Good WV. Early Treatment for Retinopathy of Prematurity Cooperative Group. Final results of the Early Treatment for Retinopathy of Prematurity (ETROP) randomized trial. Trans Am Ophthalmol Soc. 2004;102:233–48; discussion 248–250.
8. Cryotherapy for Retinopathy of Prematurity Cooperative Group. Multicenter trial of cryotherapy for retinopathy of prematurity: ophthalmological outcomes at 10 years. Arch Ophthalmol. 2001;119:1110–1118.
9. No authors listed. Multicenter trial of cryotherapy for retinopathy of prematurity: Preliminary results. Cryotherapy for Retinopathy of Prematurity Cooperative Group. Arch Ophthalmol. 1988;106:471–479.
10. Fiedler AR. Preliminary results of treatment of eyes with high-risk prethreshold retinopathy of prematurity in the Early Treatment for Retinopathy of Prematurity Randomized Trial. Arch Ophthalmol. 2003;121: 1769-1771.
11. Coats DK, Miller AM, Brady McCreery KM, Holz ER, Paysse EA. Involution of threshold retinopathy of prematurity after diode laser photocoagulation. Ophthalmology 2004;111: 1894–1898.
12. Huang Q, Zhang Q, Fei P, et al. Ranibizumab injection as primary treatment in patients with retinopathy of prematurity: Anatomic outcomes and influencing factors. Ophthalmology. 2017;124:1156–1164.
13. Isaac M, Tehrani N, Mireskandari K. Involution patterns of retinopathy of prematurity after treatment with intravitreal bevacizumab: Implications for follow-up. Eye. 2016;30:333–341.
14. Christiansen SP, Dobson V, Quinn GE, et al. Progression of type 2 to type 1 retinopathy of prematurity in the Early Treatment for Retinopathy of Prematurity Study. Arch Ophthalmol. 2010;128:461–465.
15. Kaiser RS, Trese MT, Williams GA, Cos MS Jr. Adult retinopathy of prematurity: Outcomes of rhegmatogenous retinal detachments and retinal tears. Ophthalmology. 2001;108:1647–1653.
16. Sukgen EA, Koçluk Y. Comparison of clinical outcomes of intravitreal ranibizumab and aflibercept treatment for retinopathy of prematurity. Graefes Arch Clin Exp Ophthalmol. 2019;257:49–55.
17. Bai Y, Nie H, Wei S, et al. Efficacy of intravitreal conbercept injection in the treatment of retinopathy of prematurity. Br J Ophthalmol. 2019;103:494–498.
18. Kusaka S, Shima C, Wada K, et al. Efficacy of intravitreal injection of bevacizumab for severe retinopathy of prematurity: A pilot study. Br J Ophthalmol. 2008;92:1450–1455.
19. Lalwani GA, Berrocal AM, Murray TG, et al. Off-label use of intravitreal bevacizumab (Avastin) for salvage treatment in progressive threshold retinopathy of prematurity. Retina. 2008;28:S13–S18.
20. Hu J, Blair MP, Shapiro MJ, Lichtenstein SJ, Galasso JM, Kapur R. Reactivation of retinopathy of prematurity after bevacizumab injection. Arch Ophthalmol. 2012;130:1000–1006.
21. Lepore D, Quinn GE, Molle F, et al. Intravitreal bevacizumab versus laser treatment in type 1 retinopathy of prematurity: Report on fluorescein angiographic findings. Ophthalmology. 2014;121: 2212–2219.
22. Chen TA, Shields RA, Bodnar ZH, Callaway NF, Schachar IH, Moshfeghi DM. A spectrum of regression following intravitreal bevacizumab in retinopathy of prematurity. Am J Ophthalmol. 2019;198:63–69.












