Take-home points
|
![]() |
Bios Dr. Escofet recently joined the NHS as a clinical research fellow in Medical Retina, working jointly between Salisbury District Hospital and University Hospital Southampton, England. Dr. Patsiamanidi is a clinical research fellow in Medical Retina at University Hospital Southampton. Dr. Mitsopoulou is an academic clinical fellow in ophthalmology in Wessex, England. Ms. Arora is a medical retinal specialist and consultant ophthalmologist at Salisbury District Hospital. Prof. Lotery is a professor of ophthalmology at the University of Southampton and lead investigator for the VICI and PAINT randomized clinical trials in CSCR. Disclosures: None. |
Chronic central serous chorioretinopathy is a relapsing-remitting retinal disease marked by subretinal fluid accumulation, unpredictable visual loss and substantial impact on patients’ quality of life. Over the past decade, half-dose photodynamic therapy has emerged as the most consistently effective intervention—outperforming mineralocorticoid antagonists, micropulse lasers and other off-label treatments in both controlled trials and real-world series.
In this review, we summarize the available data supporting PDT for chronic CSCR, discuss ideal patient selection and long-term outcomes and preview the upcoming PAINT trial, which aims to cement half-dose PDT as the gold-standard therapy.
Examining the evidence
One of the most important studies supporting the efficacy of PDT is the PLACE trial, which demonstrated that half-dose PDT outperformed high-density subthreshold micropulse laser in both visual acuity and subretinal fluid resolution in patients with chronic CSCR.1 This innovative study has had a big impact on clinical practice, making PDT the preferred treatment option in many specialized medical retina clinics across the globe.
Outside controlled trials, real-world data have consistently reinforced the usefulness of PDT. For example, a meta-analysis including a wide selection of PDT protocols and diverse patient populations confirmed that both full-dose and reduced-dose regimens had favorable outcomes.2 The study also emphasized the therapy adaptability and safety profile across different clinical settings.
At University Hospital Southampton, a real-world study of 125 eyes from 113 patients treated with half-dose PDT offered more insights into clinical outcomes outside of the trial pathway. The study reported statistically significant improvements in visual acuity (mean gain of 0.05 log MAR; p=0.005) and the central retinal thickness (with a mean reduction of 66 µm; p<0.001) with a mean follow-up of 24 ±13 weeks.3 While not a randomized controlled trial, this cohort was one of the largest published real-world series with a well-defined treatment protocol and meaningful clinical findings. The study emphasized the practicality and effectiveness of PDT in everyday clinical settings and helped lay the foundation for more rigorous, prospective evaluations such as the PAINT trial. This real-world experience contributed directly to the design of the upcoming PAINT trial, underlining the importance of replicable methodology and standardized outcome measures.
As an aside, it’s important to remember that patient selection is key with this procedure. Those with documented choroidal hyperpermeability, chronic subretinal fluid collection and relatively preserved outer retinal layers are more likely to benefit from PDT. Indocyanine green angiography remains a valuable tool to localize leakage points and guide targeted therapy.4
Longer-term treatment benefits have also been observed. For instance, one study reported sustained structural anatomical changes and visual acuity stability over two years following half-dose PDT in patients with chronic CSCR.5 Its findings provided further reassurance about the durability of treatment results in properly selected patients.
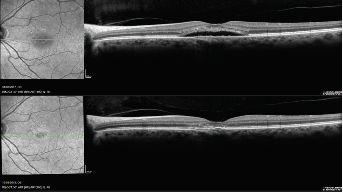
![]() |
| Figure 1. An example of a control patient enrolled in the VICI trial who showed complete resolution of subretinal fluid with no treatment after 12 months of follow-up. |
PDT alternatives
Despite several proposed therapies, alternatives to PDT have failed to show a reliable benefit. Mineralocorticoid receptor antagonists, including eplerenone and spironolactone, were initially encouraging due to their hypothesized impact on choroidal vasculature. However, the VICI trial—a multicenter, randomized, placebo-controlled study—found no significant benefit of eplerenone over placebo in improving anatomical or visual outcomes; on the contrary, the placebo group experienced better outcomes regarding SRF resolution compared to the treatment group (Figure 1).6
Laser therapies such as micropulse laser have also been studied. While some uncontrolled studies have shown some benefit,7-9 the overall evidence suggests that micropulse laser doesn’t reliably match PDT in terms of fluid resolution or visual gain. Anti-VEGF therapies, used for neovascular age-related macular degeneration, have minimal utility in CSCR without active choroidal neovascularization.10
Challenges in research
CSCR presents a unique challenge to clinical researchers and doctors. Its defining feature of unpredictability with alternating courses of relapsing and remitting periods, often with fluid resolution even in the absence of any medical intervention, makes it difficult to interpret results from both clinical studies and daily medical practice. In some cases, spontaneous resolution may be mistakenly attributed to treatment efficacy. This natural variability complicates efforts to draw clear conclusions, thus holding back the development of robust, evidence-based treatment guidelines.
Another aspect to consider is that many published studies on CSCR lack randomization, have small sample sizes or report only short-term outcomes. Others focus exclusively on structural markers, such as fluid clearance, without correlating them with significant functional improvements like visual acuity or quality-of-life measurements. The VICI study strengthened the value of careful design by demonstrating how even a well-considered treatment could fail under controlled conditions.6
Heterogeneity in inclusion criteria and outcome measures also limits the comparability of findings across studies. Standardization in future trials, as we have been advocating, will be essential to build a clear evidence base.
The verteporfin supply crisis
Verteporfin, a photosensitizing agent used in PDT, has been experiencing widespread shortages globally, including in Europe. These deficiencies in the supply chain have interrupted access to the only therapy with proven efficacy for chronic CSCR, pushing clinicians to either delay treatment, triage patients or retreat to less effective options. We have documented the clinical implications of these shortages, emphasizing the risk of irreversible vision loss when PDT isn’t available on time.11
This crisis has also delayed clinical trials and raised broader concerns about supply chain weaknesses, especially in cases in which alternative treatments are subpar.
The PAINT trial: Looking ahead
In response to the limitations of current data, the PAINT trial (NIHR award ID: NIHR134140) is being developed to provide high-quality evidence on the use of half-dose PDT for chronic CSCR. Expected to launch in January 2026, this prospective, multicenter, placebo-controlled trial aims to enroll a meticulously defined patient cohort and apply standardized outcome measures, including both anatomical and visual endpoints.12
The trial builds upon the initial evidence gathered from the PLACE and VICI studies and will also explore potential DNA genotypes as biomarkers and predictors of response. With verteporfin supply safely secured for the study duration, PAINT promises to overcome many logistical and methodological barriers that have affected previous efforts.
Hopefully, the PAINT trial might definitively establish half-dose PDT as the gold-standard treatment for chronic CSCR, providing more data to help establish more consistent clinical guidelines and treatment access strategies and protocols. It may also serve as a model for future research trials in other relapsing-remitting retinal and non-retinal conditions.
Bottom line
The unpredictable, fluctuating nature of CSCR often confounds the interpretation of various treatment approaches. Without a placebo control or long-term follow-up, treatments may appear effective in the short term simply due to natural disease resolution. This misinterpretation risks both overtreatment and misplaced clinical confidence. The PAINT trial will hopefully bring clarity to the enigma of how to best treat CSCR. RS
REFERENCES
1. van Dijk EHC, Fauser S, Breukink MB, et al. Half-dose PDT vs micropulse laser in chronic CSCR: The PLACE trial. Ophthalmology 2018;125:10:1547-1555.
2. Zaman M, Mihalache A, Huang RS, et al. Safety and efficacy of reduced PDT dosages in chronic CSCR: A meta-analysis. Am J Ophthalmol 2025;271:233-242.
3. Khandhadia S, Thulasidharan S, Hoang NTV, Ibrahim SA, Ouyang Y, Lotery A. Real world outcomes of photodynamic therapy for chronic central serous chorioretinopathy. Eye (Lond) 2023;37:12:2548-2553.
4. Nicholson B, Noble J, Forooghian F. ICGA-guided PDT in CSCR: Patient selection matters. Can J Ophthalmol 2019;54:3:233-240.
5. Lim JW, Kim MU. Long-term outcomes of half-dose PDT in CSCR. Ophthalmologica 2021;244:3:176-183.
6. Lotery AJ, Sivaprasad S, O’Connell A, et al. Eplerenone for chronic central serous chorioretinopathy (VICI): A placebo-controlled trial. Lancet 2020;395:10220:294-303.
7. Scholz P, Altay L, Fauser S. Subthreshold micropulse laser in CSCR: An update. Ophthalmol Ther 2021;10:1:43-55.
8. Lavric A, Fischer T, Klettner A. New protocols in subthreshold laser for CSCR: Any gains? Br J Ophthalmol 2023;107:2:189-195.
9. Ricci F, Missiroli F, Regine F, et al. Micropulse diode laser therapy in chronic CSCR: A review. Graefes Arch Clin Exp Ophthalmol 2022;260:5:1357-1365.
10. Daruich A, Matet A, Behar-Cohen F. Anti-VEGF in CSCR: When is it appropriate? Eye (Lond) 2017;31:10:1429-1436.
11. Tsika C, Mohamed MD. Lotery AJ. Impact of the ongoing worldwide shortage of verteporfin (Visudyne) on the visual function of patients with chronic CSCR. Acta Ophthalmol 2024;102:1:e137-e138.
12. Boon CJF. Unmet needs in CSCR research: Commentary on future directions. Prog Retin Eye Res 2024;92:101019.


