Another area of research interest is bipolar disorder (BD), an impairing mood disorder characterized by episodes of mania or milder hypomania alternating with depression. Mania consists of grandiosity, decreased need for sleep, flight of ideas, distractibility, increase in goal-directed activity and excessive involvement in activities with high potential for consequences, while depression consists of lack of interest in activities, weight loss or change in appetite, insomnia or hypersomnia, psychomotor agitation or retardation, loss of energy, feelings of worthlessness and diminished ability to concentrate.2 More severe episodes, symptoms, comorbidities and functional impairment accompany adolescent-onset BD than the adult form.3,4 Patients with BD also experience a greater prevalence for cardiovascular risk factors (CVRFs) as well as neurocognitive deficits than individuals without BD.5-8
Our Canadian research team of psychiatrists and ophthalmologists have looked at retinal photography as a “window to the mind” to see if we can use it as a non-invasive screening tool for psychiatric disorders like BD. Here’s what we’ve learned.
Retina Photography and CVRFs
Early detection of cardiovascular risk prior to the diagnosis of clinical cardiovascular disease (CVD) is crucial. Current techniques for detecting early atherosclerosis proxies include ultrasound to visualize arterial structure (eg, carotid intima media thickness) or function (eg, flow-mediated dilation).7 However, both techniques are operator-dependent, can be technically challenging and have suboptimal reliability. Additionally, they focus on macrovessels, whereas microvessels may provide a more sensitive assay of early risk of CVD.9 Given the excessive
![]() |
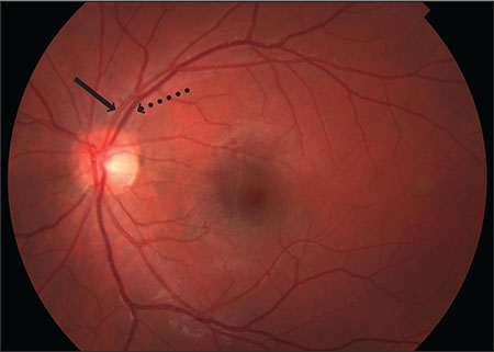
| Narrow retinal arterioles (solid arrow) and wider retinal venules (dashed arrow) are indicators of cardiovascular risk factors such as diabetes, high blood pressure and dyslipidemia. |
Retinal photography provides a noninvasive, inexpensive and reliable method of directly visualizing the retinal microvasculature, which is also a proxy for cerebral microvasculature.10-12
Retinal microvessels are arguably the best proxy measures of thcerebrovasculature. First, they can be accurately measured noninvasively. Second, they have several anatomic, embryologic, physiologic and autoregulatory properties similar to cerebral microvasculature.10,12,13 Third, pathological changes in retinal microcirculation have shown an association with cerebrovascular disease.11,14
Current literature indicates that compromised retinal vascular caliber—narrower central retinal arteriolar caliber (CRAE) and wider central retinal venular caliber (CRVE)—is indicative of various CVRFs, including diabetes, body mass index, obesity, high blood pressure and dyslipidemia.15-18 Furthermore, investigators have determined that retinal vascular caliber predicts CVD mortality.19 These associations have also been determined in adolescent populations, where poorer retinal vascular caliber is associated with diabetes, obesity and elevated fasting glucose, body mass index and blood pressure.20-22
Cognitive, Psychiatric Disorders
Retinal vascular caliber is also associated with neurocognitive performance among adults. Wider retinal venular caliber is associated with lower IQ and decreased performance on cognitive domains, including verbal comprehension, working memory, processing speed, executive function and motor skills performance.13 Furthermore, poorer retinal vascular structure has been associated with increased risk for dementia.23 Studies have also reported that symptoms and diagnosis of depression, as well as schizophrenia, are associated with narrower retinal arteriolar caliber and wider retinal venular caliber.24-27
Despite these promising findings, important gaps exist in the literature on retinal vascular photography and how it relates to cardiovascular and neurocognitive aspects. No prior retinal vascular photography studies have focused on BD in any age group, or on neurocognition specifically in adolescents.
Retinal Photography For Integrative Research
The multidisciplinary Canadian study team focused on cardiovascular risk in BD includes ophthalmology, psychiatry, neurology and medical imaging. We are using retinal photography as a novel tool to reliably measure cerebral microvessels.
The goal of this project was to generate through retinal photography novel discoveries about early stages of CVD and neurocognitive impairment in a population highly susceptible to both. This study aimed to examine the association of both CVRFs and neurocognition among adolescents with BD as well as among adolescents who are at high risk for developing BD (that is, they have a parent or a sibling with BD).
We hypothesized that narrower CRAE and wider CRVE would be associated with greater metabolic syndrome components (increased triglycerides, systolic and diastolic blood pressure, glucose and waist circumference, and decreased high-density lipoprotein cholesterol), poorer peripheral endothelial function and poorer frontal-executive neurocognitive task performance.
Thus far the
![]() |
Preliminary findings, presented recently at the Society for Biological Psychiatry and Canadian College of Neuropsychopharmacology conferences suggest that poorer retinal vascular caliber is associated with both increased CVRFs and neurocognitive deficits among adolescents with BD, but not in healthy controls. Specifically, higher diastolic blood pressure is associated with lower (worse) arterio-venular ratio (AVR) in the BD group. Similarly, higher (better) endothelial function is associated with higher (better) AVR in the BD group.
With regards to neurocognition, higher (better) AVR is associated with better performance on a task of attention and executive function among BD adolescents. None of these are significant in the health controls.
The theme of early identification and treatment is important in BD, as it is in other medical conditions. Because BD is perhaps the most familial psychiatric condition, examining relatives of people with BD may offer insights that can help parse factors that give rise to or precede BD from those that emerge contemporaneously with symptoms. Adolescent offspring of parents with BD are at an increased risk of developing BD themselves27-29 and can thus provide insights into underlying cardiovascular risk, independent of the effects of BD.28,30-32
If retinal vascular measures are meaningfully associated with BD, CVRFs and neurocognition, one can foresee a future in which retinal vascular photography has practical applications in the diagnosis, monitoring and early treatment of BD. If we succeed in our goal of demonstrating the relevance of retinal vascular measures to early-onset BD, this will provide the rationale for further development of this pragmatic method of early identification and monitoring of BD. In particular, we intend to integrate vascular-related neuroimaging phenotypes and longitudinal repeated measures. This study will provide an excellent platform for future, larger-scale, longitudinal studies. Overall, this study comprises an important step toward better understanding adolescent BD and its relation to increased cardiovascular risk and neurocognitive deficits. RS
Dr. Mandelcorn is an assistant professor of ophthalmology at the University of Toronto, where Ms. Naiberg is also a PhD candidate, Dr. Kertes a vitreoretinal surgeon and Dr. Goldstein an associate professor of psychiatry and pharmacology.
DISCLOSURES: The authors have no relevant disclosures.
REFERENCES
1. Ferrari L, Huang SC, Magnani J, Ambrosi A, Comi G, Leocani L. Optical coherence tomography reveals retinal neuroaxonal thinning in frontotemporal dementia as in Alzheimer’s disease. Alzheimers Dis. 2017 Jan 18. [Epub ahead of print]
2. Diagnostic and Statistical Manual of Mental Disorders (DSM-5). American Psychiatric Association; 2013.
3. Goldstein BI, Levitt AJ. Further evidence for a developmental subtype of bipolar disorder defined by age at onset: results from the national epidemiologic survey on alcohol and related conditions. Am J Psychiatry. 2006;163;1633-1666
4. Leverich GS, Post RM, Keck PE, et al. The poor prognosis of childhood-onset bipolar disorder. J Pediatr. 2007;150:485-490.
5. Goldstein BI, Birmaher B, Axelson DA, et al. Preliminary findings regarding overweight and obesity in pediatric bipolar disorder. J Clin Psychiatry. 2008;69:1953-1959.
6. Naiberg M, Newton D, Collins J, Dickstein D, Bowie C, Goldstein B. Elevated triglycerides are associated with decreased executive function among adolescents with bipolar disorder. Acta Psychiatr Scand. 2016;134:241-248.
7. Naiberg MR, Newton DF, Collins JE, Bowie CR, Goldstein BI. Impulsivity is associated with blood pressure and waist circumference among adolescents with bipolar disorder. J Psychiatr Res. 2016;83:230-239.
8. Goldstein BI, Carnethon MR, Matthews KA, et al. Major depressive disorder and bipolar disorder predispose youth to accelerated atherosclerosis and early cardiovascular disease: A scientific statement from the American Heart Association. Circulation. 2015;132:965-986.
9. Urbina EM, Williams RV, Alpert BS, et al. Noninvasive assessment of subclinical atherosclerosis in children and adolescents recommendations for standard assessment for clinical research: A scientific statement from the American Heart Association. Hypertension. 2009;54:919-950.
10. Kwa VI. Our eyes: windows to our souls or crystal balls? Lancet Neurology. 2006;5:108-110.
11. Wong TY. Is retinal photography useful in the measurement of stroke risk? Lancet Neurol. 2004;3:179-183.
12.. Wong TY, Klein R, Couper DJ, et al. Retinal microvascular abnormalities and incident stroke: The Atherosclerosis Risk in Communities Study. Lancet. 2001;358:1134-1140.
13. Shalev I, Moffitt TE, Wong TY, et al. Retinal vessel caliber and lifelong neuropsychological functioning: Retinal imaging as an investigative tool for cognitive epidemiology. Psychological Sci. 2013;24:1198-1207.
14. Goto I, Kimoto K, Katsuki S, Mimatsu T, Hiroshi I. Pathological studies on the intracerebral and retinal arteries in cerebrovascular and noncerebrovascular diseases. Stroke. 1975;6:263-269.
15. Ikram MK, de Jong FJ, Vingerling JR, et al. Are retinal arteriolar or venular diameters associated with markers for cardiovascular disorders? The Rotterdam Study. Invest Opthalmol Vis Sci. 2004;45:2129-34.
16. Nguyen TT, Wong TY, Islam et al. Evidence of early retinal microvascular changes in patients with type 2 diabetes and depression. Psychosom Med. 2010;72:535-538.
17. Wong TY, Kamineni A, Klein R, et al. Quantitative retinal venular caliber and risk of cardiovascular disease in older persons: The cardiovascular health study. Arch Intern Med. 2006;166:2388-2394.
18. Gopinath B, Baur LA, Wang JJ, et al. Blood pressure is associated with retinal vessel signs in preadolescent children. J Hyperten. 2010;28:1406-1412.
19. Wang JJ, Liew G, Klein R, et al. Retinal vessel diameter and cardiovascular mortality: Pooled data analysis from two older populations. Eur Heart J. 2007;28:1984-1992.
20. Newman AR, Andrew NH and Casson RJ. Review of paediatric retinal microvascular changes as a predictor of cardiovascular disease. Clin Experiment Ophthalmol. 2017;45:33-44.
21. Gishti O, Jaddoe VW, Felix JF, et al. Retinal microvasculature and cardiovascular health in childhood. Pediatrics. 2015;135:678-685.
22. Gopinath B, Baur LA, Teber R, Liew G, Wong TY, Mitchell P. Effect of obesity on retinal vascular structure in pre-adolescent children. Int J Pediatr Obesity. 2011;6:e353-359.
23. de Jong FJ, Schrijvers EM, Ikram MK, et al. Retinal vascular caliber and risk of dementia: The Rotterdam Study. Neurology. 2011;76:816-821.
24. Kim DH, Newman AB, Hajjar I, Set al. Retinal microvascular signs and functional loss in older persons: The Cardiovascular Health Study. Stroke. 2011;42:1589-1595.
26. Meier MH, Shalev I, Moffitt TE, et al. Microvascular abnormality in schizophrenia as shown by retinal imaging. Am J Psychiatry. 2013;170:1451-1459.
26. Nguyen TT, Islam FA, Farouque HO, et al. Retinal vascular caliber and brachial flow-mediated dilation: The Multi-Ethnic Study of Atherosclerosis. Stroke. 2010;41:1343-1348.
27. Birmaher B, Axelson D, Monk K, et al. Lifetime psychiatric disorders in school-aged offspring of parents with bipolar disorder: The Pittsburgh Bipolar Offspring Study. Arch Gen Psychiatry. 2009;66:287-296.
28. Goldstein BI, Shamseddeen W, Axelson DA, et al. Clinical, demographic, and familial correlates of bipolar spectrum disorders among offspring of parents with bipolar disorder. J Am Aca Child Adol Psychiatry. 2010;49:388-396.
29. Henin A, Biederman J, Mick E, Sachs GS, Hirshfeld-Becker DR, Siegel RS, McMurrich S, Grandin L and Nierenberg AA. Psychopathology in the offspring of parents with bipolar disorder: A controlled study. Biological Psychiatry. 2005;58:554-61.
30. Chang K, Steiner H, Dienes K, Adleman N, Ketter T. Bipolar offspring: A window into bipolar disorder evolution. Biol Psychiatry. 2003;53:945-51.
31. MacQueen GM, Grof P, Alda M, Marriott M, Young LT, Duffy A. A pilot study of visual backward masking performance among affected versus unaffected offspring of parents with bipolar disorder. Bipolar Disorders. 2004;6:374-8.
32. Hajek T, Cullis J, Novak T, et al. Brain structural signature of familial predisposition for bipolar disorder: Replicable evidence for involvement of the right inferior frontal gyrus. Biol Psychiatry. 2013;73:144-152.


