![]() |
Bios Dr. Bamberger is a retina specialist in Toronto. Dr. Eng is a vitreoretinal surgeon and chief of ophthalmology at Sunnybrook Health Sciences Centre, University of Toronto. Dr. Felfeli is an ophthalmology resident at the University of Toronto. DISCLOSURES: The authors and Dr. Felfeli have no relevant relationships to disclose. |
Eales’ disease is a rare idiopathic retinal vasculitis that’s characterized by a peripheral retinal periphlebitis leading to capillary nonperfusion, retinal vein occlusions and ischemia predisposing the patient to neovascular complications such as vitreous hemorrhage.1,2
Eales’ disease is suspected in the appropriate demographic group with an otherwise negative review of systems and work-up for other conditions that include:
- syphilis;
- active tuberculosis;
- sarcoidosis;
- systemic lupus erythematosus;
- anti-phospholipid antibody syndrome;
- antineutrophil cytoplasmic antibody-related diseases; and
- rheumatic diseases.
A possible association with latent TB has been described.3
Treatment for Eales’ disease is based on managing the complications and reducing the risk of disease progression. In cases of nonclearing vitreous hemorrhage (41 percent), retinal detachment (11 percent) or macular hole (<1 percent), pars plana vitrectomy may be required.4 If the ocular media are sufficiently clear, ablation of ischemic retina with panretinal laser photocoagulation can be considered, as long as the vasculitis has been sufficiently controlled with immunosuppressive therapy. Although controversial, the use of intravitreal anti-VEGF therapy may lead to a higher risk of retinal detachment.4
Our case
A 40-year-old phakic male originally from India presented with a subacute decrease in Snellen visual acuity in his right eye to 20/200. His ocular history included a retinal detachment repair in the fellow eye with vitrectomy, laser panretinal photocoagulation and scleral buckling 15 years earlier in India. He had no history of diabetes or sickle cell disease, and the review of systems was negative.
![]() |
|
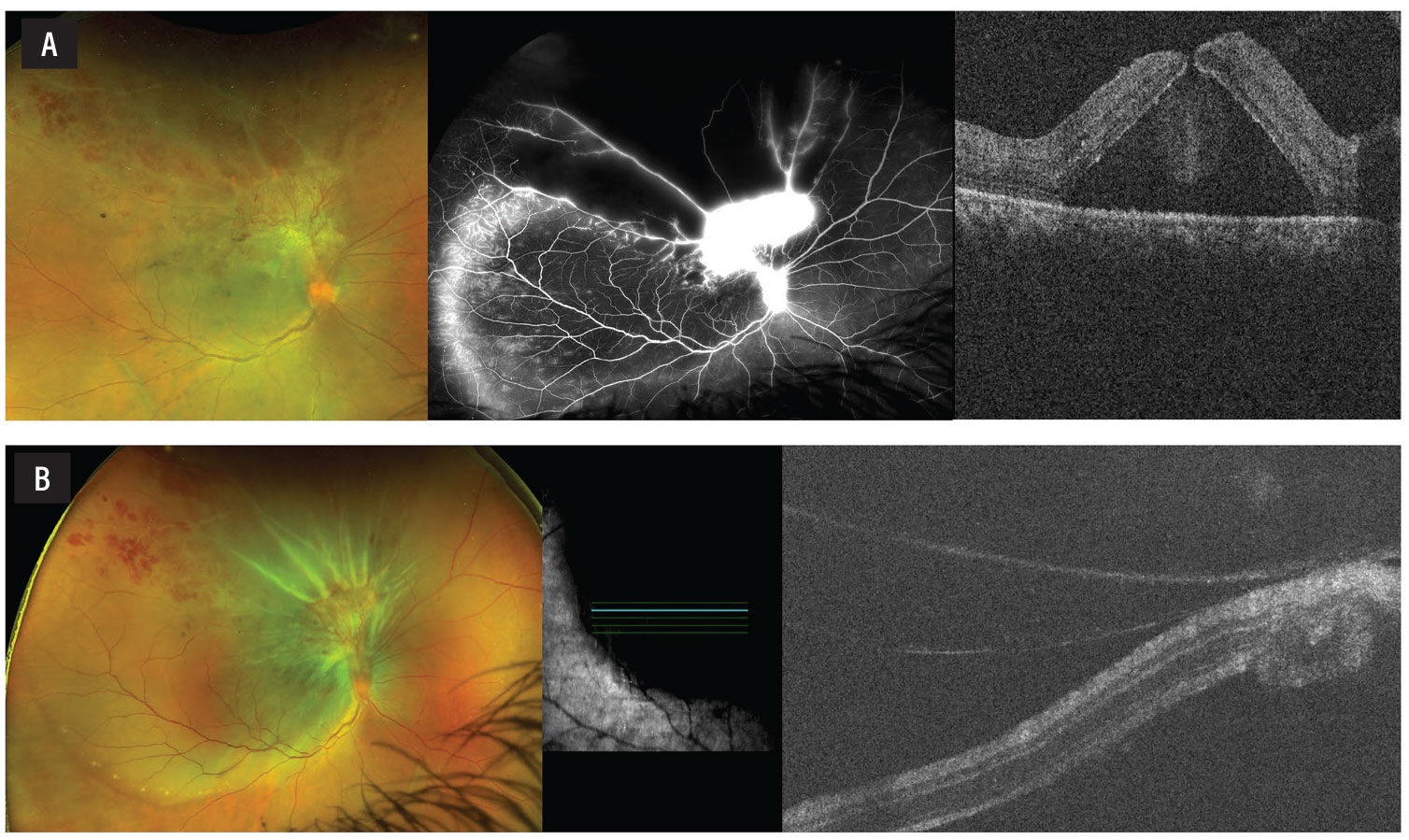
Figure 1. A) Color widefield fundus and optical coherence tomography images of the right eye document the tractional retinal detachment, vasculitis and peripheral nonperfusion and full-thickness macular hole with subretinal fluid due to foveal traction on presentation and visual acuity of 20/200. B) At one month following presentation, color widefield fundus images and OCT images of the right eye demonstrated rapidly worsening TRD with a decline in visual acuity to count fingers. |
On examination, the patient’s right eye had a shallow tractional retinal detachment involving the macula and extending to the near periphery with phlebitis and a large plaque of neovascularization along the proximal superior arcade emanating from the disc. Macular optical coherence tomography showed a small full-thickness macular hole and fluorescein angiography revealed peripheral vascular sheathing and non-perfusion superiorly (Figure 1A).
The patient underwent screening for tuberculosis using a TB QuantiFERON Gold assay and tested positive. All other investigations from the extensive uveitis work-up, including screening laboratory and imaging investigations for syphilis and sarcoidosis, were negative.
He was immediately referred to the infectious disease service and an anti-latent TB therapeutic regimen was initiated. With the presumed diagnosis of Eales’ disease, the patient was started on 80 mg daily of oral prednisone followed by a six-month taper and appropriate oral calcium and vitamin D supplementation (Table).1 Within one month, the retinal detachment progressed significantly with a corresponding decline in visual acuity to counting fingers, and the patient decided to proceed with pars plana vitrectomy (Figure 1B).
![]() |
Our surgical approach
In our surgical video, after a limited core vitrectomy, we gently elevated the posterior hyaloid from the optic disc using 23G internal limiting membrane forceps to create a plane of dissection. We avoided excessive traction while moving from posterior to anterior to mitigate the risk of iatrogenic break formation. Once lifted, we divided the hyaloid along the 3-to-9-o’clock meridian to isolate the superior and inferior hemispheres. We then evaluated the neovascular plaque superiorly with the forceps and lifted the remaining hyaloid gently with the cutter using aspiration (Figure 2).
![]() |
|
Figure 2. Intraoperative images depicting the key surgical steps. A) After a limited core vitrectomy, the posterior hyaloid was elevated using internal limiting membrane forceps to create a plane of dissection, and the hyaloid was divided along the 3-to-9-o’clock meridian. B) The ILM peeling was done under a flat contact lens from nasal to temporal to initiate the flap. |
![]() |
We then turned our attention to the macular hole and applied a flat contact lens. In this case, given the ILM had to be peeled over the detached retina, we elected to avoid the use of dyes such as indocyanine green, which can migrate into the subretinal space and potentially increase the risk of toxicity.
Using a 1:1 dilution of triamcinolone, we obtained a light dusting of the ILM by aspirating with low vacuum to leave only a fine layer of white crystals. We could then visualize the ILM adequately without obscuring the deeper layers.
We initiated the flap from the nasal to the temporal, taking advantage of the countertraction the optic disc provided. Our priority was to completely remove the ILM around the macular hole, followed by enlarging the ILM rhexis as much as safely possible.
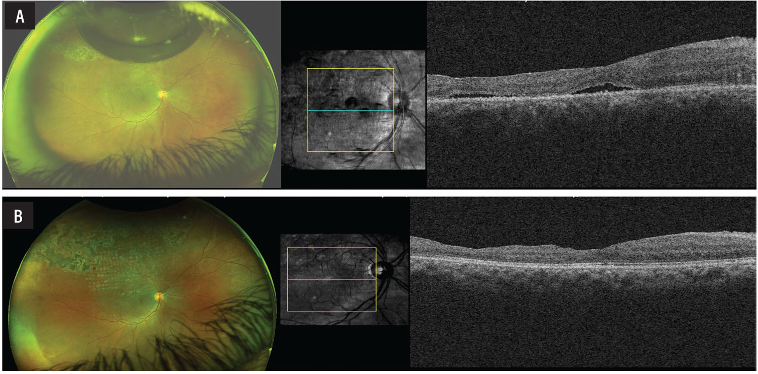
The final steps included a peripheral scleral depressed examination, fluid-air exchange with careful drainage from the macular hole, sectoral retinal photocoagulation and C3F8 gas fill. Postoperatively, the patient was asked to position face-down while awake and sleep on either side for two weeks. One year later, final best-corrected visual acuity was 20/50 (Figure 3).
Patient outcome
In our case, although the macular hole was small, we still peeled the ILM to ensure all residual traction was relieved and to decrease the risk of epiretinal membrane formation.7 After C3F8 gas tamponade and two weeks of postoperative face-down positioning, the macular hole was closed and the patient’s final visual acuity reached a level of 20/50, comparing favorably to other Eales’ cases reported in the literature.
A recent meta-analysis reported a 95-percent pooled surgical success estimate of PPV for Eales’ disease, with a 17 percent reoperation rate due to recurrent vitreous hemorrhage or retinal detachment.4 Final visual outcomes were >20/400 in 87 percent of patients and >20/40 in 32 percent.4
![]() |
|
Figure 3. Postoperative color widefield fundus images and optical coherence tomography images of the right eye. A) At month one, flattening of the retina and closure of the macular hole with trace residual subretinal fluid were evident, with a visual acuity of 20/100. B) At month six, there was sectoral pan-retinal photocoagulation laser fill-in posteriorly with distinct ellipsoid zone and external limiting membrane centrally and a closed macular hole on OCT. Visual acuity was 20/50 at the last follow-up. |
![]() |
As a study in India reported, although patients with a vitreous hemorrhage may be more likely to also have a PVD, uncomplicated surgery isn’t guaranteed, even if more complex problems such as retinal detachment aren’t present preoperatively.5 Complete delamination of the posterior hyaloid and identification of vitreoschisis is critical in all these cases to avoid leaving residual tangential traction.6 The India study found a lower rate of failure when adding an encircling scleral buckle—a consideration for adding additional support in select cases with residual peripheral traction or diffuse peripheral breaks.5
Bottom line
A full-thickness macular hole is rare in Eales’ disease, and to our knowledge this is the first detailed description of a surgical repair for one. Our case highlights the importance of a comprehensive diagnostic work-up and a tailored treatment and surgical approach for achieving a favorable outcome in this patient. RS
REFERENCES
1. Papaliodis GN. Eales Disease. In: Post TW (Ed). UpToDate, Post TW. Waltham, MA: UpToDate; 2024. https://www.uptodate.com/contents/eales-disease. Accessed March 19, 2024.
2. Biswas J, Sharma T, Gopal L, Madhavan HN, Sulochana KN, Ramakrishnan S. Eales disease—an update. Surv Ophthalmol. 2002;47:197-214.
3. Gupta P, Biswas J. Further evidence of the association of latent Mycobacterium tuberculosis in Eales’ disease. International Ophthalmology. 2021;41:901-906.
4. Zhao X-y, Cheng S-y, Zhang W-f, Meng L-h, Chen Y-x. Clinical characteristics of Eales disease and the efficacy of different interventions for neovascular complications. Retina. 2022;42:1975-1988.
5. Shukla D, Kanungo S, Prasad N, Kim R. Surgical outcomes for vitrectomy in Eales’ disease. Eye. 2008;22:900-904.
6. Badrinath SS, Gopal L, Sharma T, et al. Vitreoschisis in Eales’ disease: Pathogenic role and significance in surgery. Retina. 1999;19:51-54.
7. Lamas-Francis D, Bande-Rodríguez M, Blanco-Teijeiro MJ. Primary ILM peeling during retinal detachment repair: A systematic review and meta-analysis. Sci Rep. 2023;13:3586.







