![]() |
Multimodal imaging reveals a number of characteristic findings of MacTel. For example, fluorescein angiography, which has been the gold standard for diagnosis, illustrates telangiectatic capillaries early and hyperfluorescence consistent with leakage in the later phases (Figure 1), while blue light reflectance (ie, “red free”) and autofluoresence, which are sensitive at detecting early disease, demonstrate characteristic hyper-reflective changes (Figure 2).1
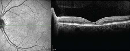
In addition, spectral domain optical coherence tomography (SD-OCT) may reveal hyporeflective cavities (ie, cavitations) involving the inner and/or outer retinal lamellae and ellipsoid zone attenuation (Figure 3). Although the entire perifovea may be involved, the findings are nearly always observed in at least the temporal edge of the fovea and may be asymmetric between the eyes.
No treatments are effective at improving functional vision loss for the nonproliferative stage of MacTel type 2. However, intravitreous vascular endothelial growth factor (VEGF) inhibitors and, possibly, photodynamic therapy are often used to treat subretinal neovascularization and may improve visual acuity in the proliferative phase.2
MacTel Project Goals
Following J. Donald M. Gass, MD, and associates’ initial descriptions of the disease decades ago, relatively few studies of macular telangiectasia type 2 have been published.3,4 Therefore, the Macular Telangiectasia (MacTel) Project was established in 2005 as an international research collaboration to improve our understanding and, ultimately, find a treatment for this visually disabling disorder.
Organized into the three different programs—clinical research, eye donation and laboratory research—the MacTel Project is sponsored and coordinated by the private, not-for-profit Lowy Medical Research Institute (LMRI) based in La Jolla, Calif. Investigators around the world work independently and as part of multicenter studies to unravel the mysteries of macular telangiectasia type 2.
The clinical research program has evolved since its inception, but is currently divided into the Natural History Observational Registry Study, imaging and clinical trials groups.
Originally, the clinical research program
![]() |
| Figure 1. Color fundus photograph of the left eye (A) demonstrates non-tapering and angled venues, subtle perifoveal translucency and intraretinal crystals concentrated on the temporal edge of the fovea. Early phase fluorescein angiogram (FA) of the left eye (B) shows reduced and telangiectatic capillaries with subtle hyperfluorescence on the temporal edge of the fovea. Late-phase FA (C) demonstrates characteristic hyperfluorescence on the temporal edge of the fovea. |
Additionally, a parallel genetics study was initiated shortly thereafter in which blood samples were drawn from NHOS participants, first-degree family members and age-matched controls to identify genetic variants that may be associated with a susceptibility to MacTel type 2.
What NHOS Revealed About MacTel Type 2
As the largest study focusing on MacTel type 2, the NHOS provided important clinical information regarding baseline metrics and the natural history of the disease that include:
-mean age of 57 years at diagnosis;
-a predilection for female gender (64 percent) and Caucasian race (81 percent);
-mean Snellen visual acuity of approximately 20/32 in the better eye and 20/50 in the worse eye;
-16 percent of participants demonstrated a 20/20 or better visual acuity an average of three years after diagnosis;
-hyperfluorescence on fluorescein angiography and characteristic autofluorescence changes in 89 percent of eyes;
-at least one MacTel type 2 specific change on OCT in 74 percent of participants;5 and
-microperimetry revealed absolute scotomas in 43 percent of participants, with the temporal quadrant affected 98 percent of the time.6
MacTel type 2 was also associated with systemic disease. Patients demonstrated a higher prevalence of diabetes mellitus, elevated body-mass index, hypertension and history of cardiovascular disease than age- and sex-matched participants in population-based studies. Interestingly, the prevalence of diabetic retinopathy was significantly less than expected, which raised the possibility that MacTel type 2 was in some way protective against the development of diabetic retinopathy.7
| Take-home Point The MacTel Project has transformed the understanding of macular telangiectasia type 2 since its inception in 2005. Investigators have better elucidated the clinical presentation and natural history, which allows for faster diagnosis and assists in counseling patients. Additional imaging modalities and pathological specimens have enabled a better understanding of the cellular mechanisms leading to disease. In addition, a Phase III clinical trial is set to begin within months that may offer the first hope of slowing the progression of the severe functional impairment. Finally, several genes have been identified that offer additional hope of halting or even reversing the deleterious effects of MacTel type 2. This new information will undoubtedly open a whole new line of inquiry in the quest to eliminate this visually disabling disorder. |
After five years of follow-up, best-corrected visual acuity decreased by an average of 1.07 letters per year with 15 percent of participants losing more than 15 letters. In addition, the probability of progression from no crystalline deposits to any deposits, no intraretinal pigment to any pigment, and development of subretinal neovascularization was 20 percent, 33 percent and 7 percent, respectively.8 Finally, enlargement of absolute scotomas on microperimetry was limited to an area of 5° by 8° regardless of the severity of the MacTel type 2.6
Importantly, the National Eye Institute Visual Function Questionnaire revealed significantly impaired visual function, even when the visual acuity was not proportionately affected.9 Findings in a subcohort of 71 eyes followed for 4.5 years supported this, showing that functional deterioration was related more to absolute scotoma worsening on microperimetry (58 percent) than to a significant decline in visual acuity (17 percent).10 Similarly, another study of 56 eyes followed for 4.5 years demonstrated a significant correlation between ellipsoid zone loss and absolute scotoma but not visual acuity. The authors suggested that ellipsoid zone changes might make an ideal surrogate for functional vision loss given the objectivity of the measure.11
Natural History Observational Registry
The NHOS eventually transitioned into the Natural History Observational Registry, which is still enrolling patients. This registry is a means of identifying individuals who might be eligible for current and future MacTel Project studies in
![]() |
| Figure 2. Blue light reflectance (ie, red free) image (A) shows hyper-reflectivity on the temporal edge of the fovea with a ring of subtle hyper-reflectivity throughout the perifovea. These images also illustrate the nontapering angled venules well. Fundus autofluorescence of the left eye (B) shows hyper-reflectivity on the fovea’s temporal edge. |
MacTel Imaging Protocol
The Imaging groups supported by LMRI are using adaptive optics and OCT angiography to better understand the mechanisms of MacTel type 2 and develop an objective measure of disease progression.
Adaptive optics scanning laser ophthalmoscopy (AOSLO), which visualizes cone photoreceptor structure, has demonstrated disruption of the cone mosaic pattern in areas of the ellipsoid zone break on SD-OCT. This was thought to be permanent and progressive. However, a recent study using AOSLO microperimetry revealed that functioning cones are still present within these areas even though cones were not seen on AOSLO. Importantly, the AOSLO has shown the ability to later visualize cones again in these areas as long as the external limiting membrane remains preserved, which suggests that some ellipsoid zone loss seen on SD-OCT may be reversible.12
OCT angiography (OCT-A) has revealed that capillary dilation and telangiectasis begins in the temporal perifoveal deep capillary plexus and extends to the superficial plexus before moving superficially around the fovea. More advanced MacTel type 2 demonstrates capillary thinning and ultimately loss of capillaries within these layers.13 In some cases, neovascularization develops, which OCT-A has now shown affects both the retinal and choroidal layers rather than just the retinal and subretinal areas as previously believed.14
Clinical Trials
In collaboration with Neurotech Pharmaceuticals, the Lowy Medical Research Institute is sponsoring a clinical trials program to evaluate the safety and efficacy of ciliary neurotrophic factor (CNTF), a naturally occurring neuroprotective protein, against photoreceptor loss. Using encapsulated cell therapy (ECT) technology developed by Neurotech, the NT-501 device is surgically implanted into the vitreous where genetically engineered cells within a semi-permeable capsule release CNTF over an extended period.
An open-label Phase I clinical trial revealed no serious safety concerns in seven participants after four years.15 A subsequent randomized, masked and controlled Phase II trial enrolled 67 patients (99 eyes) across 11 sites in the United States and Australia. The primary endpoint evaluated the effects of the NT-501 implant on the area of ellipsoid zone loss from
![]() |
| Figure 3. Horizontal spectral-domain optical coherence tomography of the left eye reveals a single cavitation through the middle layers of the retina with ablation of the ellipsoid zone just temporal to the central fovea. |
A four-year extension study of the Phase I and II trials recently began and will consist of annual evaluations.17 Additionally, a multicenter, masked, controlled Phase III clinical trial is anticipated to start by the end of 2017.16 To participate in the Phase III clinical trial, prospective patients must first enroll in the Natural History Observational Registry study.
Eye Donation Program
The Eye Donation Program has allowed for the clinicopathological assessment of eyes with MacTel type 2 in order to gain a better understanding of the mechanisms of vision loss. Thus far, two cases have demonstrated an absence of Müller cell markers in the areas of macular pigment depletion. In addition, the second case found a significant loss of rods but not cones in the area of ellipsoid zone loss on SD-OCT.18,19 Both cases involved fairly advanced MacTel type 2, and additional specimens are needed to better understand the histopathology. Details about the eye donation program are available on the LMRI website (www.lmri.net) or by contacting a MacTel project clinical site.
Laboratory Research
The Laboratory Research program aims to improve the understanding of MacTel through preclinical models and genetic analysis, and by identifying potential therapeutics.20 It consists of extramural collaborators at institutions around the world and an intramural program based at the Lowy Medical Research Institute. The collaborators work independently and in concert to study the retina pigment epithelium, Müller glia, photoreceptors, metabolism, genetics, macular pigments, gene therapy and blood vessels. Additional information regarding the specific programs can be found on the LMRI website.
Recently, a genome-wide association study identified three validated susceptibility loci for MacTel type 2 on chromosomes 1p12, 2q34 and 5q14.3 in addition to two suggestive loci at 3q21.3 and 7p11.2. The 5q14.3 locus is associated with increased retinal vascular caliber while the 1p12, 2q34 and 7q11.2 loci play a role in the glycine and serine metabolic pathway. Interestingly, a metabolomics analysis demonstrated significantly reduced blood serum glycine (p=4.04x10-6) and serine (p=2.48x10-4) levels for MacTel type 2 cases vs. controls.21 RS
REFERENCES
1. Sallo FB, Leung I, Zeimer M, et al. Abnormal retinal reflectivity to short-wavelength light in type 2 idiopathic macular telangiectasia. Retina. 2017;June 21 [Epub ahead of print].
2. Issa et al., Macular telangiectasia type 2. Prog Retin Eye Res. 2013;34:49-77.
3. Gass JD, Oyakawa RT. Idiopathic juxtafoveolar retinal telangiectasis. Arch Ophthalmolol. 1982;100:769-780.
4. Gass JD, Blodi BA. Idiopathic juxtafoveolar retinal telangiectasis. Update of classification and follow-up study. Ophthalmology. 1993;100:1536-1546.
5. Clemons TE, Gillies MC, Chew EY, et al. Baseline characteristics of participants in the natural history study of macular telangiectasia (MacTel) MacTel Project report no. 2. Ophthalmic Epidemiol. 2010;17:66-73.
6. Vujosevic S, Heeren TFC, Florea D, et al. Scotoma characteristics in macular telangiectasia type 2: MacTel Project report no. 7—The MacTel Research Group. Retina. 2017;May 22 [Epub ahead of print].
7. Clemons TE, Gilles MC, Chew EY, et al. Medical characteristics of patients with macular telangiectasia type 2 (MacTel Type 2) MacTel Project report no. 3. Ophthalmic Epidemiol. 2013;20:109-113.
8. Peto T, Heeren TFC, Clemmons TE, et al. Correlation of clinical and structural progression with visual acuity loss in macular telangiectasia type 2: MacTel Project report no. 6-The MacTel Research Group. Retina. 2017;May 11 Epub ahead of print.
9. Clemons TE, Gillies MC, Chew EY, et al. The National Eye Institute Visual Function Questionnaire in the Macular Telangiectasia (MacTel) Project. Invest Ophthalmol Vis Sci. 2008. 49:4340-4346.
10. Heeren TF, Clemons T, Scholl HP, et al. Progression of vision loss in macular telangiectasia type 2. Invest Ophthalmol Vis Sci. 2015;56:3905-3912.
11. Heeren TFC, Kitka D, Florea D, et al. Longitudinal correlation of ellipsoid zone loss and functional loss in macular telangiectasia type 2. Retina. 2017;May 24 Epub ahead of print.
12. Wang Q, Tuten WS, Lujan BJ, et al. Adaptive optics microperimetry and OCT images show preserved function and recovery of cone visibility in macular telangiectasia type 2 retinal lesions. Invest Ophthalmol Vis Sci. 2015;56:778-786.
13. Spaide RF, Klancnik JM Jr, Cooney MJ. Retinal vascular layers in macular telangiectasia type 2 imaged by optical coherence tomographic angiography. JAMA Ophthalmology 2015;133:66-73.
14. Thorell MR. Zhang, Q, Huang Y, et al. Swept-source OCT angiography of macular telangictasia type 2. Ophthalmic Surg Lasers Imaging Retina. 2014;45:369-380.
15. Phase 1 clinical trial webpage. La Jolla, CA; Lowy Medical Research Institute. http://www.lmri.net/clinical-research/phase-1-clinical-trial/.Accessed July 29, 2017.
16. Neurotech Announces positive phase 2 results in NT-501 (CNTF) for macular telangiectasia [press release]. Cumberland, RI; Neurotech Pharmaceuticals; June 20, 2017. http://neurotechusa.com/Ph2_NT501_CNTF.pdf. Accessed July 29, 2017.
17. Clinicaltrials.gov. Extension Study of NT-501 Ciliary Neurotrophic Factor (CNTF) Implant for Macular Telangiectasia (MacTel). Clinicaltrials.gov website. https://clinicaltrials.gov/ct2/show/NCT03071965?cond=Macular+Telangiectasia&draw=1&rank=2. Accessed July 29, 2017
18. Powner MB, Gillies MC, Zhu M, Vevis K, Hunyor AP, Fruttiger M. Loss of Müller’s cells and photoreceptors in macular telangiectasia type 2. Ophthalmology. 2013;120:2344-2352.
19. Powner MB, Gilles MC, Tretiach M, et al. Perifoveal Müller cell depletion in a case of macular telangiectasia type 2. Ophthalmology. 2010;117:2407-2416.
20. Gillies MC, Bird AC, Chew EY, et al, for the MacTel Research Group. Progress of the MacTel Project. Paper presented at: Annual Macula Society Meeting; February 24-27, 2010; Tucson, AZ.
21. Scerri TS, Quaglieri A, Cai C, et al. Genome-wide analyses identify common variants associated with macular telangiectasia type 2. Nat Genet. 2017;49:559-567.




